martedì 25 agosto 2015

Pancreatic pseudocyst

A pancreatic pseudocyst is a circumscribed collection of fluid rich in pancreatic enzymes, blood and necrotic tissue, typically located in the lesser sac of the abdomen. It is normally a complication of pancreatitis, although in children pancreatic pseudocysts often occur following abdominal trauma. 
They account for approximately 75% of all the pancreatic masses.
Nevertheless, our patient was never diagnosed with pancreatitis before, but for about 6 weeks he had complained of strong epigastric pain (not acidic in nature), not responding to any treatment for peptic ulcer disease.
He came to our observation because of an extremely tender epigastric mass. He was actually referred from another facility with diagnosis of perforated duodenal ulcer.
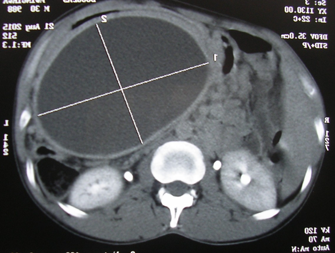
We immediately performed an abdominal ultrasound which allowed us to exclude any viscus perforation or peritonitis. On the other hand we have actually seen a round mass of the epigastrium, measuring about 12 cm in diameter. The mass was clearly a cyst, but the content was thick and rich in debris; it was clearly outside the liver parenchyma, and so it could not be an amoebic liver abscess.
Because of the epigastric location, immediately I have thought of a possible pancreatic pseudocyst, but I have decided to confirm the diagnosis with an abdominal CT scan. The latter imaging test was completely in accordance with the finding of the ultrasound, and I was a bit proud of that.
Amylase levels were moderately elevated at 280 U/L, as you can expect in chronic pancreatitis.



The patient was always in great pain and he demanded a solution to his problem.
We have studied; we have consulted our mentors, and finally we have decided that the only way to help him was through surgery.
We went to theater the following day. The patient was intubated and given general anaesthesia.
We have then opened the abdomen with a midline xyfo-umbilical incision, which has given us a good view of the epigastrium and of the stomach in particular.
The pancreatic pseudocyst was behind the stomach itself and it was completely attached to it: that was good news from the surgical point of view.
We have opened the anterior wall of the stomach; thereafter we have operated a small incision through the posterior wall of the stomach and the attached cyst: through the opening, we have sucked around 250 ml of brownish fluid, paying a lot of attention to avoid any spill in the peritoneal cavity… we actually feared a possible chemical peritonitis caused by the high concentration of pancreatic enzymes in the cystic material.
We have then made a continuous hemostatic suture on the posterior wall opening, and eventually we have closed the anterior wall of the stomach in two layers.
In such a way we have created a continuous drainage of pancreatic juice in the stomach itself. Before closing the abdomen in layers, we have abundantly washed the peritoneal cavity with warm saline solution.
The patient is now doing well in his post-op recovery and we have high hopes he will completely recover.


Dr Bro Giuseppe Gaido  



Nessun commento:


Chaaria è un sogno da realizzare giorno per giorno.

Un luogo in cui vorrei che tutti i poveri e gli ammalati venissero accolti e curati.

Vorrei poter fare di più per questa gente, che non ha nulla e soffre per malattie facilmente curabili, se solo ci fossero i mezzi.

Vorrei smetterla di dire “vai altrove, perché non possiamo curarti”.

Anche perché andare altrove, qui, vuol dire aggiungere altra fatica, altro sudore, altro dolore, per uomini, donne e bambini che hanno già camminato per giorni interi.

E poi, andare dove?

Gli ospedali pubblici hanno poche medicine, quelli privati sono troppo costosi.

Ecco perché penso, ostinatamente, che il nostro ospedale sia un segno di speranza per questa gente. Non ci sarà tutto, ma facciamo il possibile. Anzi, l’impossibile.

Quello che mi muove, che ci muove, è la carità verso l’altro, verso tutti. Nessuno escluso.

Gesù ci ha detto di essere presenti nel più piccolo e nel più diseredato.

Questo è quello che facciamo, ogni giorno.


Fratel Beppe Gaido


Guarda il video....